Book a Free Virtual Appointment Tap to Call
Inner Banner

we are so proud of our work here at kingston orthodontics we like to show it off.

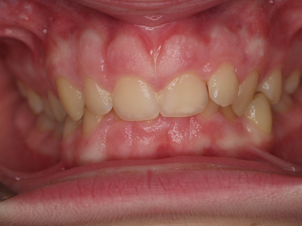
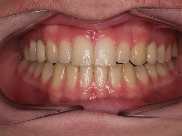
Mild Crowding (Fixed Braces)

This patient had orthodontics as a child involving extractions and fixed braces. Her front teeth relapsed despite having retainers and she was keen to have re-treatment. She had no concerns regarding the appearance of the brace and had Gemini stainless steel braces on both top and bottom teeth. She was seen every 6-8 weeks and her treatment lasted 10 months.

Mild Crowding (Invisalign)

This patient had never had orthodontics before and was keen to have invisible but removable braces. He opted for Invisalign and wore his aligners for approximately 20-22 hours a day as requested. His treatment was complete within 12 months.

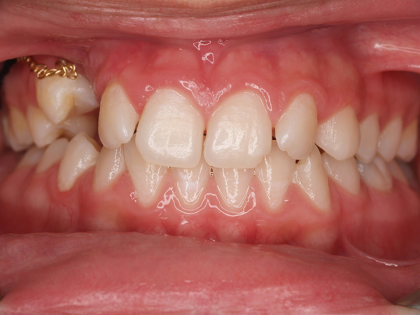
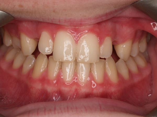
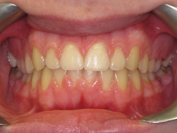
Mild crowding (incognito lite)

This patient had mild crowding of the bottom front teeth and was keen to have a fully invisible lower brace. Since the crowding was very mild, Incognito Lite was a viable option for her. Her treatment lasted less than 6 months and she was fitted with a bonded retainer (wire glued behind the front teeth) when the brace was removed. This prevents the teeth from relapsing back to their start position.

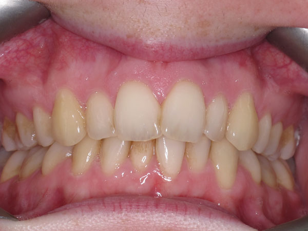
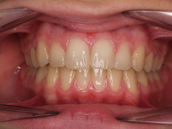
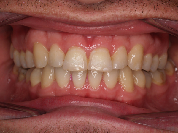
Mild crowding (incognito)

This 32-year-old patient had 2 upper premolar teeth extracted in her teenage years and didn’t proceed with orthodontic treatment at that time. She was very keen to have her teeth straightened but was very self-conscious and wanted to have a discreet brace! She decided to go for upper and lower Incognito appliances and was seen every 5-6 weeks to have the brace adjusted. Her treatment lasted 18 months and she now has a fantastic smile!

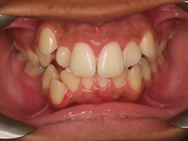
Crowding (fixed brace)

This child had severe crowding of both the top and bottom teeth. This was treated without the need for extractions by using the Damon brace technology. These braces were in place for approximately 18 months.

Deep bite (removable brace)

This child had a very deep bite where the top front teeth covered all of the bottom front teeth. This caused ulcers to occasionally develop because of the bite. The treatment involved a removable brace initially to open the bite followed by fixed braces to straighten the teeth. The treatment took approximately 18 months.

Prominent top teeth (removable brace)

This young boy had prominent top teeth and was very self conscious of their appearance. He had treatment with a removable functional brace that enhanced the growth of his lower jaw and reduced the prominence of his top teeth. The brace was worn full time and the treatment was complete in 6 months. He then needed treatment with fixed braces to straighten the mild twists on his front teeth. It is often necessary to have fixed braces after the removable brace.

Prominent bottom teeth (fixed brace)

This patient had a prominent lower jaw but was not interested in surgery to correct his jaw position. He therefore had fixed braces to the top and bottom teeth to broaden his top jaw, move the top teeth forward and move the bottom teeth backwards. This improved his bite dramatically although full correction was not possible.

Impacted teeth (fixed brace)

The canine tooth was impacted in this case. Treatment involved an operation to attach a gold chain to the tooth followed by fixed braces to the teeth to guide the impacted tooth into place. This treatment took approximately 2 years which is not uncommon when treating impacted teeth.

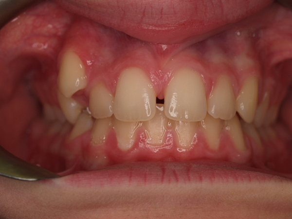
Spaced teeth (fixed brace)

This patient had a large gap between her front teeth and a crooked canine tooth. She had fixed braces to both top and bottom teeth and these braces closed the gap and straightened her teeth. Treatment took approximately 12 months.

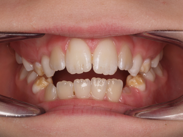
Missing teeth (fixed brace)

Patients with missing teeth can often have large gaps between their teeth. This young man had two missing top teeth. His treatment involved fixed braces to the top and bottom teeth to straighten them whilst keeping the spaces open. This type of treatment involves close collaboration with the dentist to ensure that the dimensions of the spaces are correct. Once the braces are removed, the dentist can then fill the gaps with dentures, bridges or implants. The choice of replacement tooth is individually tailored to each patient.

Thumb sucking (fixed appliance)

Children who suck their thumb can often affect the developing bite of their teeth. Commonly, thumb sucking results in a large gap between the front teeth. A fixed thumb guard can be provided for approximately 3 months for children who are unable to stop sucking their thumb. This guard acts as a deterrent and is very effective at breaking the habit and also reducing the gap between the top and bottom teeth.

ASK ABOUT OUR INTEREST FREE PAYMENT PLANS

Spread the cost of any treatment

We are here to help you achieve the perfect – and affordable – smile so please talk to us about our popular interest-free payment plans. Spread the cost and relax – secure in the knowledge that your treatment will take place on time and on budget.